【民生好報記者 玉女 /台中報導】
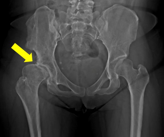
32歲的許小姐從小就因為右邊的髖關節發育不良接受過截骨矯正手術。然而,從上大學後走路和運動時偶爾右邊的髖關節會有卡卡和疼痛的感覺。進入到職場後右邊的髖關節就常常覺得痛,走路也像企鵝一樣一跛一跛的。3年前因為懷孕的關係體重變重了,擔心肚子裡的小孩又不敢吃止痛藥,常常讓她痛到邊走邊哭。既使小孩出生後體重減輕了,右邊的髖關節仍然痛得讓她沒辦法照顧小孩。羨慕其他的媽媽們可以全心全意照顧小孩,讓她幾乎快得了憂鬱症。
台中大里仁愛醫院骨科黃贊文醫師表示,病人因為長年的疼痛和不能好好照顧小孩讓她看起來很憂鬱,在門診談起過往的生活時邊講邊哭。因此;建議進行「微創正前開髖關節置換手術」,但是病人對手術非常恐懼,直到姑姑跟她分享手術後又能爬山、運動,享受人生,她才鼓起勇氣接受置換手術。病人在手術當天下午麻醉藥效一退,就迫不及待練習走路。現在不止可以幫心肝寶貝洗澡還能一起去公園玩,終於重回人生軌道。
黃贊文醫師指出,髖關節發育不良導致的髖關節炎好發在40至55歲,女性居多。在髖關節炎初期可進行髖關節截骨矯正手術來延緩置換人工關節的時間;但若已進展到末期,治療的方式則是直接安排人工髖關節置換手術。
黃醫師說,對於長期疼痛和關節沾黏、僵硬的病人,肌肉萎縮的情況會比較嚴重,如果採行需要切開臀部肌肉的傳統手術方式,在肌肉縫合後仍然需要6-8週的時間癒合,活動限制多。此外,走路的步態較不穩定。病患需要助行器和拐杖來輔助日常生活,以避免因肌肉無力而跌倒並進一步造成脫臼和骨折。
黃贊文醫師表示,「微創正前開髖關節置換手術」因為是從肌肉間隙進入關節,對周圍的肌肉幾乎沒有破壞,術後疼痛減輕,恢復快,行走步態也較穩定,通常病人在術後當天下午即可持助行器走路。大部分的病患僅需要2-4週的時間使用助行器和拐杖,不需要等待6-8週肌肉癒合的時間。
黃醫師指出,若病人本身的骨頭有嚴重的變形、骨頭遺留有手術的鋼釘、鋼板或患有病態肥胖等,則比較不合適進行「微創正前開髖關節置換手術」。但最重要的還是提醒民眾,若有髖關節疼痛的症狀時,應儘早尋求專業醫師診斷及治療。















